Existují dvě věci, které se zubní lékaři neustále snaží zlepšovat: rychlost a kvalitu. Vzhledem k tomu, že případy vyžadující použití sekčního matricového systému jsou velmi časté, představuje právě volba tohoto systému oblast, kde se mnoho praktických stomatologů snaží ušetřit čas a zároveň zlepšit výsledky. Pro doktora Bretta Richinse je následující kazuistika ukázkovým příkladem toho, jak mu sekční matricový systém Halo™ pomáhá zefektivnit práci.
„Systém Halo výrazně urychluje mé výplně II. třídy a zároveň zlepšuje konečný výsledek,“ říká Dr. Richins. „Oceňuji tvar matricových pásků a způsob, jakým se svorky kroužku přizpůsobují anatomii zubu. Kontaktní body i okrajové uzávěry nikdy nevypadaly lépe.“
Za největší přínos považuje úsporu času během opravy. „Téměř nikdy nemusím odstraňovat přebytky materiálu ani upravovat okluzní embrasuru. Je patrné, že tento systém byl navržen s ohledem na potřeby jak pacienta, tak lékaře – poskytuje skvělé výsledky a je snadno použitelný.“
Preparace kavity II. třídy na druhém premoláru dolní čelisti.

Matricový pásek Halo™ byl umístěn pomocí pinzety Halo™.

Pinzeta Halo

Klínky Halo™ dosahují skvělé adaptace gingiválního okraje a napomáhají separaci pro ideální kontakty ve finální náhradě. Klínky se snadno umísťují a odstraňují pinzetou Halo.

Halo klíny

Anatomický design kroužku Halo™ drží matricový pásek u zubu a zajišťuje dodatečnou separaci potřebnou k dosažení těsných interproximálních kontaktů.

Matricový pásek Halo™ má ideální anatomické kontury, takže bombírování a tvarování pásku není ve většině situací nutné. V případě potřeby lze použít nástroj k úpravě matricové pásky a zajištění správného kontaktu s přilehlým zubem.

Matricové pásky Halo

Kompozit byl vrstven a tvarován.

Bezprostředně po odstranění matricového systému Halo™. Jednou z hlavních výhod tohoto systému je minimální množství dokončovacích prací, které jsou nutné.

Výplň byla dokončena pomocí lešticího nástroje Jiffy™ Natural.

Dokončovací a lešticí systém Jiffy Natural Composite

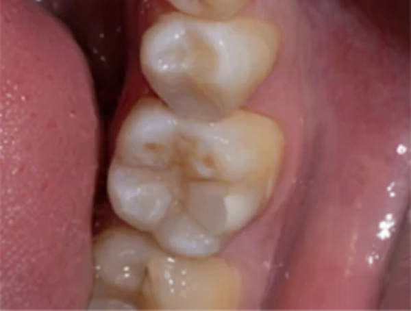
Finální podoba po odstranění kofferdamu.


O lékaři
Dr. Brett Richins
Po získání bakalářského titulu v oboru biomedicínského inženýrství na University of Utah v roce 2008 získal Dr. Richins v roce 2012 doktorát na University of Pittsburgh School of Dental Medicine. Je členem Akademie všeobecného zubního lékařství, Americké stomatologické asociace a Utažské stomatologické asociace. Nadále se vzdělává a často navštěvuje kurzy pro pokročilé, které se zabývají tématy jako endodoncie, implantologie, estetická stomatologie, ústní patologie, TMJ, spánková apnoe a mnoho dalších. Věnoval se také humanitární stomatologii v nedostatečně péči pokrytých oblastech Jamajky, Vanuatu a Apalačské oblasti. Kromě stomatologické praxe tráví Dr. Richins jeden den v týdnu prací klinického poradce pro společnost Ultradent Products. Společnost Ultradent vyvíjí a vyrábí zubní výrobky nejvyšší kvality již více než 40 let. Role Dr. Richinse ve společnosti Ultradent mu umožňuje podílet se na testování a vývoji nejnovějších dentálních výrobků.