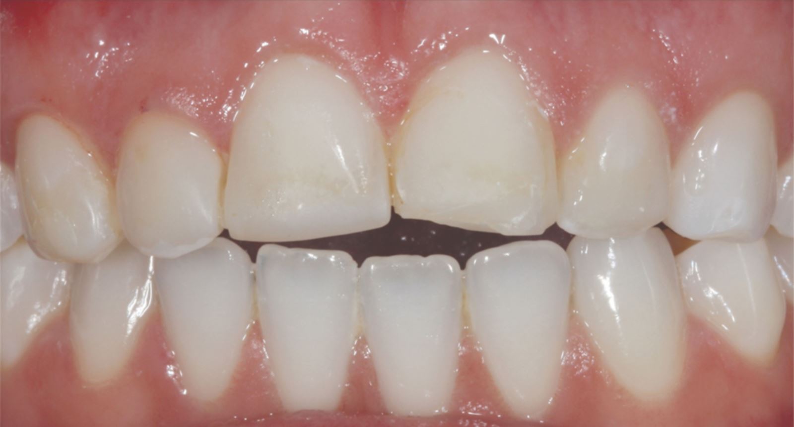
Mladá žena ve věku kolem 20 let, kterou trápila diskolorace horních frontálních zubů po dřívějším traumatu, vyhledala ošetření u Dr. Jaleeny Fischer-Jessop, DDS, MBA. Hledala řešení, které by obnovilo její úsměv. Pacientka byla ošetřena konzervativní a cenově dostupnou metodou: kompozitními fazetami bez preparace, přímým bondingem. Dr. Fischer-Jessop zvolila tento postup k překrytí diskolorace a sjednocení horních zubů s dolními frontálními – bez nutnosti invazivnějších výkonů, jako jsou implantáty, nebo nákladných laboratorně zhotovovaných fazet. Pro zesvětlení zubů byly vybrány odstíny B1D a Enamel White (EW) a odstín Universal Body (UB) kompozitu Transcend™ byl použit k přirozenému splynutí okraje v cervikálních oblastech.
Analýza případu a postup krok za krokem

Anamnéza pacientky:
Pacientka ve 20 letech s anamnézou traumatu horních frontálních zubů. Přestože trauma proběhlo, zuby zůstaly stabilní, takže implantáty nebyly nutné.

Estetické představy a finanční situace:
Pacientka měla výrazné estetické obavy a současně byla finančně limitována. S ohledem na tyto okolnosti byly zvoleny kompozitní fazety bez preparace jako vhodné řešení.

Aplikace kompozitu:
Kompozit Transcend v odstínu B1D byl aplikován od dvou třetin výšky korunky od incisální hrany směrem k cervikální oblasti, kde se postupně ztenčoval. Odstín Universal Body (UB) byl nanesen v cervikálním třetině, závěrečné vrstvy tvořil Enamel White (EW) a malé množství UB v marginální oblasti pro přirozené splynutí.

Oddělení fazet:
K preciznímu oddělení fazet byla použita skalpelová čepelka #12 a separační pilka.

Sejmutí kompozitních fazet:
Kompozitní fazety byly sejmuty.

Konturování okrajů:
K dotvarování okrajů byla použita jemná diamantová brouska typu mosquito needle.

Leštění a příprava na cementaci:
Fazety byly konturovány a vyleštěny pomocí lešticí sady Jiffy™ Natural, čímž byly připraveny k cementaci.

Úprava vnitřního povrchu:
Vnitřní povrch fazety byl pískován. Alternativně lze pro tento krok použít 35% kyselinu fosforečnou Ultra-Etch™.

Nanesení adheziva:
Vnitřní povrch fazety byl potažen adhezivem Peak™ Universal Bond.

Ztenčení a polymerace adheziva:
Adhezivum bylo ztenčeno proudem vzduchu a následně polymerováno světlem VALO™ X po dobu tří sekund v režimu Xtra Power.

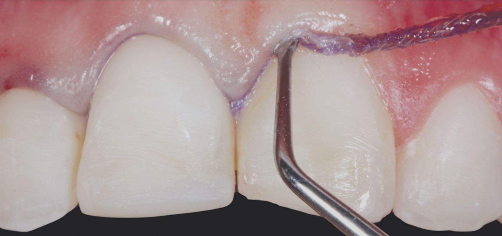
Příprava sulku:
Do gingiválního sulku byla vložena pletená retrakční vlákna Ultrapak™ velikosti #0 k přípravě pro leptání.

Leptání nepreparované skloviny:
Nepreparovaná sklovina byla leptána 35% kyselinou fosforečnou Ultra-Etch po dobu 30 sekund.

Aplikace a ztenčení adheziva:
Adhezivum Peak Universal Bond bylo aplikováno a ztenčeno vzduchem se současným odsáváním.

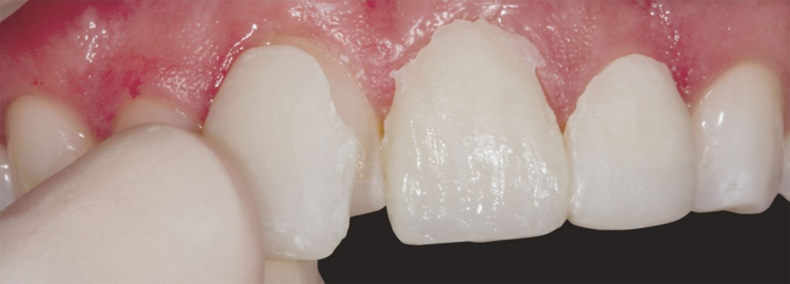
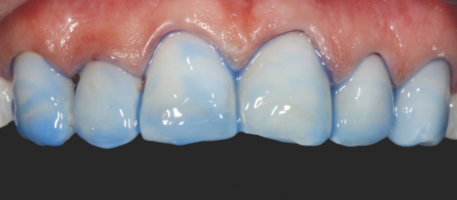
Cementace:
Fazety byly cementovány pomocí pryskyřičného cementu PermaShade™ LC v odstínu Translucent (není dostupný v Evropě).

Výsledek cementace:
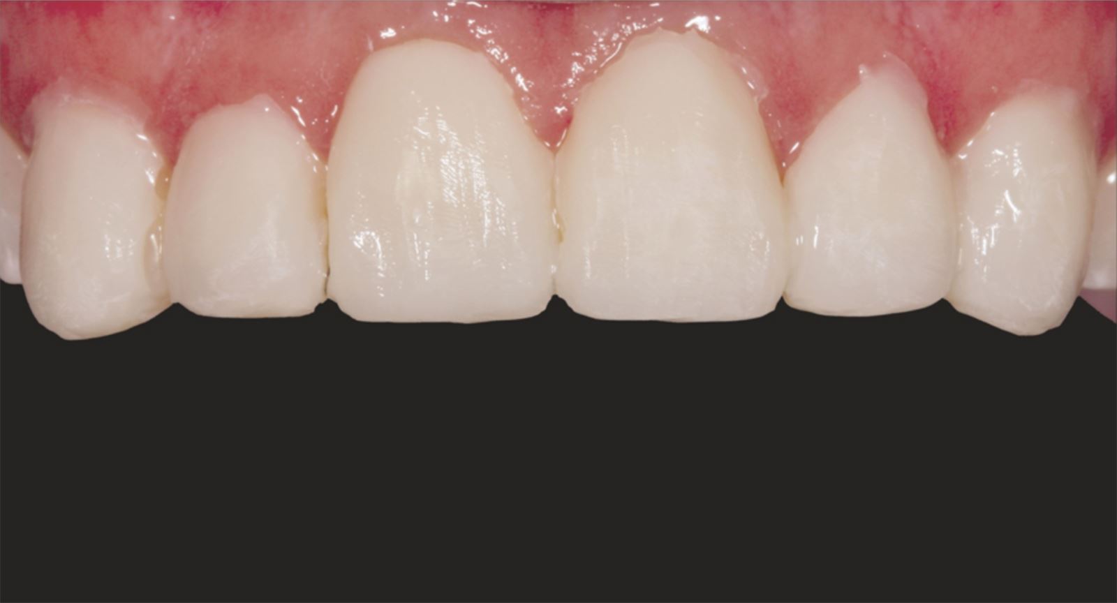
Finální cementace vedla ke stabilnímu a esteticky přijatelnému uložení fazet.

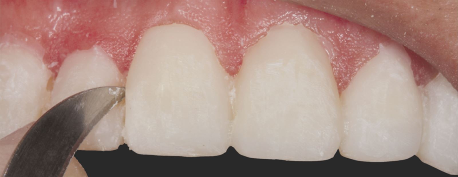
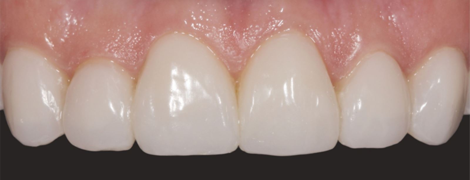
Modelace anatomie fazet
K modelaci anatomie fazet byly použita diamantová brouska ve tvaru míče na ragby a dlouhý tenký diamantový brousek. K vytvoření linií Retzia (SR lines) byla použita lobulární diamantový brousek (segmentovaný, „laločnatý“ tvar). Počáteční leštění proběhlo s Jiffy™ Natural, finální lesk byl dosažen přípravkem Ultradent™ Diamond Polish Mint a Jiffy™ Goat Hair Brush (není dostupný v Evropě), aby nedošlo k odstranění terciární anatomie.
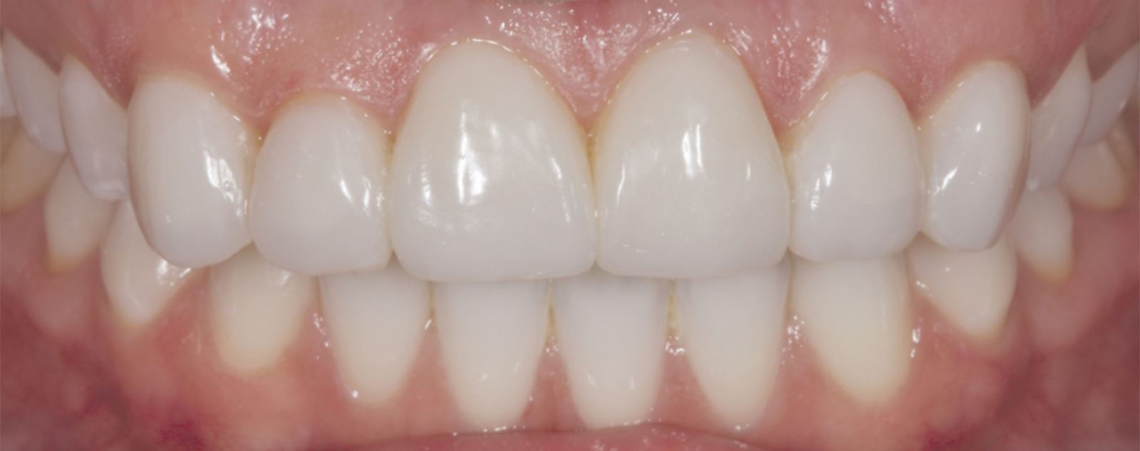
Výsledek a závěrečné zhodnocení
Tento postup úspěšně vyřešil estetické obavy pacientky překrytím diskolorace horních frontálních zubů a dosažením přirozeného, vyváženého vzhledu ve vztahu k dolním frontám. Použití kompozitních fazet bez preparace poskytlo konzervativní, vysoce efektivní řešení, které respektovalo finanční možnosti pacientky a její požadavek na minimálně invazivní přístup.
O autorce ošetření:
Dr. Jaleena Fischer-Jessop, DDS, MBA
Dr. Fischer-Jessop absolvovala v roce 2002 Stomatologickou fakultu Loma Linda University School of Dentistry s vyznamenáním v oboru orální chirurgie. Později dokončila dvouletou certifikaci prostřednictvím American Orthodontics Society.
Dr. Fischer-Jessop působila dva roky v představenstvu Utah Dental Association. V současnosti je členkou National Advisory Board a od roku 2014 je externí vyučující na University of Utah Dental School. V roce 2023 získala titul MBA na Eccles School of Business při University of Utah. Dr. Fischer-Jessop provozuje vlastní stomatologickou praxi, kde již 22 let pracuje se zaměřením na estetickou a minimálně invazivní stomatologii. Je 31 let vdaná za Neila Jessopa a mají dvě dcery, Kaziu a Cambri Jessop.