• Blog
  • Travel
  • Katalogy
  • Absolventi
  • O nás
  • Kontakty
  • Oblíbené
  • Registrujte se
  • Přihlásit
Hu-Fa Dental
  • Ordinace
  • Laboratoř
  • Akční letáky
  • Vzdělávání
0

Váš nákupní košík je prázdný.

Menu

Akce

Novinky

Výprodej

Katalog

Otiskování

Výplně

Endodoncie

Provizoria a rebaze

Zobrazovací technika

Anestezie

Chirurgie a Implantologie

Bělení zubů

Profylaxe

Ortodoncie

Dezinfekce a sterilizace

Ochrana a hygiena

Ruční nástroje

Rotační nástroje

Přístroje

Ostatní

CAD/CAM

Laboratoř

Zhotovení modelů

Sádry

II. třída

III. třída

IV. třída

Skenovací

Úprava sádrových modelů

Vodící čepy

Kyvety, třmeny a pomůcky

Okludory a artikulátory

Dublování

Individuální lžičky

Příslušenství

Příslušenství

Přístroje

Dělené modely

Gingivální masky

Přístroje

Soupravy

Stoličky

Vibrátory

Vypalovací Pece

Amalgamátory

Scalery

Osvětlení

Keramická pec

Kompresory

Ultrazvukové čističky

Separátory amalgámu

Ostatní

Autoklávy

Vosková modelace

Modelovací pryskyřice

Izolační prostředky

Lepící vosky

Modelovací vosky

Fóliové vosky

Skusové vosky

Voskové dráty

Kahany a hořáky

Voskové předtvary

Elektronická modelace

Kapničkovače a nahřívače

Modelovací nože

Modelovací nástroje

Ošetření modelů

Inlejový vosk

Frézovací vosk

Plotýnkové vosky

Elektronický nahřívač

CAD/CAM

Cerec

Skenování

Materiály pro CAD/CAM

Sintrovací pece

Zatmelování

Zatmelovací hmoty

Licí kroužky

Dělené

Bezešvé

Licí kelímky

kleště

Dráty

Retence

Přístroje

Vakuové míchačky

Licí přístroje

Ostatní

Digitální váha

Kladiva

Řezačka

Svařovací přístroje

Vibrátor

Vložka

Kovy

...na skelety

...pro kovokeramiku

...na korunky, můstky

Drahokovové

se zlatem

se stříbrem

s paládiem

Pájky, pasty, tavidla

stříbro-paládiová

Přístroje

Pískování

Pískovače

Odsávání

Písky

Fazetování

Keramika

Vita

Vita Omega 900

klasická VITA

3D-Master

VMK 95

Akzent

Vision

Klasická VITA

Esthetic

Performence Plus

Nástroje a příslušenství

Keramické destičky

Štětce

C+B Pryskyřice

Gradia

Chromasit

Superpont

Duropont

Příslušenství

Míchací kalíšky

Vzorníky

Přístroje

Snímací náhrady

Pryskyřice

Příslušenství

Přístroje

Pomůcky

Rebaze

Zásuvný spoj

Zesilovací mřížka

Izolační prostředky

Pomůcky

Opracování

Mikromotory

Frézy

Diamanty

Keramický kámen

Mikromotory

Karborundové brousky

Řezací disky

Leštící gumy

Leštící kotouče a pomůcky

Leštící pasty

Přístroje

Sintrované diamanty

Vrtáčky

Vakuové tvarování

Přístroje

Fólie

Zásuvné spoje

Ordinace

Otiskování

Algináty

Silikony

C-Silikony (Kondenzační)

A-Silikony (Aditivní)

Vinyl polysiloxane

Polyéterové hmoty

Funkční otisky

Registrace skusu

Otiskovací lžíce

Kovové

Plastové

Adheziva na lžíce

Pomůcky pro otiskování

Retrakční prostředky

Hemostatika

Aplikační systémy

Míchací pomůcky

Nože na otisky

Přístroje na míchání

Dezinfekce na otisky

Výplně

Amalgámy

Tabletové amalgámy

Kapslové amalgámy

Aplikační pomůcky

Opracování amalgámu

Třepačky

Kompozita, Kompomery

Světlem tuhnoucí kompozita

Stříkačky

Kompule

Flow kompozita

Bulk-Fill kompozita

Chemicky tuhnoucí kompozita

Duálně tuhnoucí kompozita

Kompomery

Leptací a bondovací materiály

Leptání dentinu a skloviny

Bondovací systémy

Jednosložkové

Vícesložkové

Výplňové cementy

Skloionomerní výplňové cementy

Kondicionéry

Ochranné laky

Fixační cementy

Skloionomerní fixační cementy

Kompozitní fixační materiály

Fosfátové cementy

Provizorní fixační cementy

Podložkové materiály

Skloionomerní podložky

Kalcium-hydroxidové preparáty

Karboxylátové cementy

Ostatní

Provizorní výplně

Pečetidla fisur

Matricové systémy

Matricové systémy

Kovové matrice

Páskové

Tvarované

Transparentí matrice

Páskové

Tvarované

Napínače matric

Interdentální klínky

Dřevěné

Plastové

Leštění výplní

Rotační leštící nástroje

Brusné a leštící pásky

Polyesterové

Kovové

Leštící disky

Brusné a leštící pasty

Příslušenství pro výplně

Chladící spreje

Indikátoru kazu

Artikulační pomůcky

Artikulační papíry

Artikulační fólie

Spreje

Ostatní

Aplikátory, Míchací pomůcky

Aplikační štětečky, kanyly

Aplikační systémy

Míchací pomůcky

Ostatní

Kompozitní fazety

Materiály na opravy

Parapulpární čepy

Ostatní

Endodoncie

Endo nástroje

Nástroje na kavitu

Diamantové nástroje

Tvrdokovové nástroje

Ultrazvukové nástroje

Kořenové nástroje

Exstirpační jehly

Rozšiřovače

Pronikače (K-Reamer)

Pilníky (K-File)

Protahováčky Hedström (H-File)

Plniče

Ostatní kořenové nástroje

Boxy na kořenové nástroje

NiTi kořenové nástroje

NiTi na iniciální zprůchodnění

NiTi ruční

NiTi rotační systémy

NiTi reciprokační systémy

NiTi na reendodoncii

Ultrazvukové

Ostatní

Papírové čepy

K NiTi systémům

Gutaperčové čepy

Kónicita .02

Kónicita .04

Kónicita .06

K NiTi systémům

Výplachy

NaOCI chlornan sodný

EDTA

EDTA gel

EDTA tekutina

Chlorhexidin

CHX tekutina

CHX gel

Citric Acid

Alkohol k vysušení k.k.

Výplachové stříkačky

Výplachové kanyly

Rovné tupé

S bočním otvorem

Zkosené tupé

Navitip

Plastové

Výplachové systémy

Aspirátory

Systémy

Aktivace výplachu

Stojánky na výplachy

Kořenové výplňové materiály

Provizorní

Definitivní

MTA biosealery

Epoxidamin

S hydroxidem vápenatým

Zink-oxid-eugenol

Silikon - UDMA

Preparáty pro endodoncii

Přístroje

Apexlokátory

Motory

Obturace

Ultrazvuk

Ostatní

Kořenové čepy

Kořenové čepy

Titanové čepy

Zlacené čepy

Čepy ze skelných vláken

Ostatní

Kofferdam

Sady

Spony

Spony na frontální zuby

Spony na premoláry

Spony na moláry

Spony s vroubkovanými čelistmi

Spony na retrakci gingivy

Spony černé matové

Spony dětské

Spony speciální

Spony plastové

Podložky na spony

Kleště

Děrovací kleště

Kleště na spony

Rámečky

Kovové

Plastové

Šablony

Šablony

Razítka

Ubrousky pod kofferdam

Stabilizační vlákna

Příslušenství

Blány

Latexové

Bezlatatexové

S rámečkem

Ostatní

Provizoria a rebaze

Podkládání a rebaze

Dlohodobé

Krátkodobé

Provizoria

Provizorní korunky

Materiály na provizoria

Rentgenologie

RTG Filmy

Intraorální

Extraorální

Chemikálie

Pro vyvolávací automaty

Pro ruční vyvolávání

Příslušenství

Držáky RTG snímků

Držáky RVG senzorů

Pouzdra, obaly, popisovače

Ostatní

Intraorální rentgeny

Radioviziografie

Diagnostické systémy

Vyvolávače

Anestezie

Chirurgie

Šití

Vstřebatelné

Nevstřebatelné

Šicí jehly

Ošetření měkkých tkání

Náhrada kosti

Dlahování zubů

Chirurgické savky, roušky

Elektrokautery

Chirurgické motory a násadce

Chirurgické nástroje

Bělení zubů

Domácí

Ordinační

Příslušenství

Profylaxe

Ochrana dentinu, fluoridace

Ochrana dentinu

Fluorizace

Profesionální čištění

Čistící a leštící prášky

Čistící a leštící pasty

Čistící a leštící nástroje

Ostatní

Prevence

Diagnostika plaku

Xylitol

Ostatní

Zubní kartáčky

Elektrické zubní kartáčky

Zubní kartáčky

Čištění mezizubních prostor

Mezizubní kartáčky

Zubní vlákna, párátka

Zubní pasty, ústní vody

Zubní pasty

Ústní vody

Ostatní

Zubní ozdoby

Výukové pomůcky

Rozvěrače úst

Ostatní

Ortodoncie

Brekety

Přímé bondované tubusy

Fixační materiály

Cementy na brekety

Cementy na kroužky

Kroužky

Zámky ke kroužkům

Obličejové dráty

Elastické výrobky

Gumičky

Obličejové oblouky

Modely

Speciální nástroje

Ostatní

Knihy

Skleněné pilíře ZX-27

Motivace a hygiena pacientů

Chrániče

Krabičky

Kartáčky

Nástroje a pomůcky

Dráty

Snímací kleště

Laboratoř

Ochrana měkkých tkání

Tubusy

Ligatury

Řetízky

Dezinfekce a sterilizace

Dezinfekce

Ruce

Mytí rukou

Dezinfekce rukou

Péče o pokožku

Nástroje

Ruční nástroje

Rotační nástroje

Povrchy

Dezinfekce postřikem

Plošná dezinfekce

Dezinfekční ubrousky

Odsávání

Otiskovací lžíce

Ostatní

Příslušenství

Dezinfekční vany

Dávkovací zařízení

Ostatní

Sterilizace

Horkovzdušná sterilizace

Sáčky a kazety

Testy a indikátory

Sterilizátor

Parní sterilizace

Sáčky a role

Testy a indikátory

Sterilizátor

Svářečky obalů

Příslušenství

Tácky a kazety

Ostatní

Ochrana a hygiena

Ochranné pomůcky

Rukavice

Vyšetřovací rukavice

Latexové rukavice

Nitrilové rukavice

Vinilové rukavice

Chirurgické rukavice

Ústenky

Čepice, pláště

Roušky pro pracienty

Ochranné štíty, brýle

Ostatní

Hygiena

Savky

Kelímky

Papírové ručníky a kapesníky

Výrobky z vaty a gázy

Vata buničitá, obvazová

Vatové válečky, kuličky

Gáza, tampóny z gázy

Ostatní

Ruční nástroje

Vyšetřovací nástroje

Pátradla

Zrcátka, držátka

Pinzety

Modelovací nástroje

Cpátka

Hladítka

Carvery, modelovací nástroje

Parodontologické nástroje

Parodontologické sondy

Kyrety

Scalery, na zubní kámen

Ostatní

Chirurgické nástroje

Nůžky

Extrakční kleště

Extrakční páky

Skalpely

Chirurgické pinzety

Jehelce, svorky, peány

Háky (retraktory)

Raspatoria

Ostatní

Snímání korunek a můstků

Ostatní nástroje

Exkavátory

Lžičky

Lopatky na cement

Nosiče amalgamu

Luxator

Ostatní

Rotační nástroje

Tvrdokovové vrtáčky

FG (do turbínky)

RA (do kolénka)

HP (do násadce)

Ocelové vrtáčky

Diamantové brousky

FG (do turbínky)

RA (do kolénka)

HP (do násadce)

Rozřezávače korunek

Ostatní

Speciální vrtáčky

Lupové brýle

TTL (na míru zákazníka)

Galilejské

2.0x zvětšení

2.5x zvětšení

Prizmatické

3.5x zvětšení

Quic L. Brýle

Flip-Up (Universal)

Galilejské

2.5x zvětšení

3.0x zvětšení

Prizmatické

4.0x zvětšení

3.5x zvětšení

3.5x zvětšení

5.0x zvětšení

4.5x zvětšení

6.0x zvětšení

Osvětlení

Ostatní

Přístroje

Amalgamátor a třepačky kapslí

Míchací přístr.na otisk. hmoty

Míchací přístroje

Příslušenství, náhradní díly

Polymerační lampy

LED lampy

Náhradní díly

Žárovky

Baterie, světlovody

Ostatní příslušenství

Vybavení ordinace

Nábytek

Židle

Osvětlení

Imaging

Intraorální retgeny

Intraorální RTG zobrazení

Přímá digitalizace

Nepřímá digitalizace

Panoramatické přístroje

Intraorální kamery

Vyvolávací přístroje

Ostatní

Turbínky

Světelné

Nesvětelné

Hlavičky

Rychlospojky

Světelné

Nesvětelné

Násadce a mikromotory

Rovné násadce

Světelné

Nesvětelné

Kolénka

Světelné

Nesvětelné

Mikromotory

Násadce a přístroje pro chirur

Násadce

Přístroje

Ultrazvukové přístroje

Přístroje

Koncovky

Parodontologie

Protetika

Endodoncie

Chirurgie

Sady

Ostatní

Pískovače

Přístroje

Příslušenství

Sterilizace a hygiena

Autoklávy, příslušenství

Horkovzdušné sterilizátory

Destilační přístroje

Demineralizátory

Svářečky obalů

Ostatní

Ošetřování nástrojů

Zubní soupravy

Ostatní

Mikroskopy

Odsávání

Kompresory

Odlučovače

Ostatní

Různé

Kazety, tácky, stojánky

Kahany a hořáky

Tiskopisy

Hračky a odměny pro děti

Ostatní

CAD / CAM

Přístroje

Frézovací bloky

Implantologie

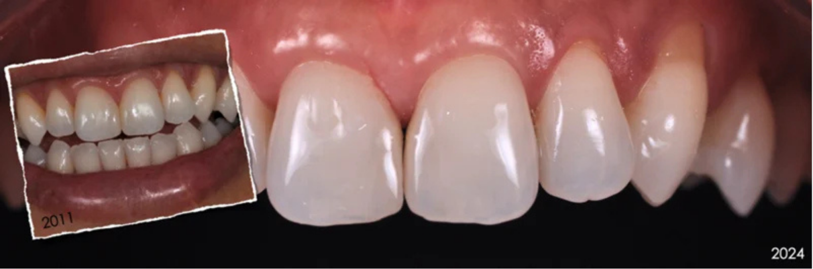
Dlouhá životnost je bez pochyb jednou ze základních vlastností každé výplně. Přesto se v běžné praxi může zdát jako něco, čeho není vždy snadné dosáhnout. Tento článek představuje klinický případ uzavírání diastematu z roku 2011 a ukazuje, jak mohou správně zvolená transiluminace a leštění přispět k dlouhodobému zachování výplně.

Před čtrnácti lety přišla do mé ordinace 35letá pacientka, která nebyla spokojená se svým diastematem (obr. 1). Po standardních krocích adhezivního ošetření jsem použil vrstvenou techniku a zhotovil kompozitní rekonstrukci k uzávěru diastematu ve čtyřech různých odstínech. Následně jsem provedl polymeraci pomocí první generace polymerační lampy VALO™ LED, která mi od té doby spolehlivě zajišťuje dobře vytvrzené rekonstrukce. Výsledek působil velmi přirozeně a harmonicky zapadl do úsměvu pacientky (obr. 2).


Obr. 1 a 2: Uzavření diastematu v roce 2011

 

V roce 2024, po několika kontrolních návštěvách v průběhu let, kterých bylo méně, než by bylo vhodné, jsem měl pocit, že případ vyžaduje důkladnější klinické přehodnocení. Při vstupním vizuálním vyšetření jsem zaznamenal několik prasklin ve sklovině, což je u 48leté pacientky běžný nález (obr. 3). Zároveň jsem ale získal dojem, že mezi jednotlivými vrstvami kompozitu mohlo dojít k mikronetěsnosti, zejména u rekonstrukce zubu 11.


Obr. 3: Klinický stav po 13 letech

 

V takové situaci je vhodné doplnit vyšetření o transiluminaci, protože samotná vizuální kontrola má své limity. V mém případě jsem znovu sáhl po řadě polymeračních lamp VALO. Po 13 letech nyní pracuji se třetí generací původní lampy VALO LED, tedy s modelem VALO X. Tato nová lampa nenabízí jen světelné režimy pro běžný polymerační protokol, ale také diagnostické režimy s černým a bílým světlem a navíc i užitečné diagnostické čočky.

Pro přesnější diagnostiku jsem se rozhodl postupovat podle konkrétního transiluminačního protokolu. Nejprve jsem na lampu VALO X nasadil difusní čočku a použil diagnostický mód s černým světlem. Tento režim pomáhá odhalit fluorescenční částice v kompozitu a zároveň usnadňuje odlišení kompozitu od přirozené skloviny. U zubu 11 bylo zřetelně patrné tmavé zbarvení v linii oblasti kompozitní výplně, což potvrdilo moje původní podezření, že se mezi vrstvami různých odstínů kompozitu něco nachází (obr. 4 a 5).



Obr. 4 a 5: Zobrazení v diagnostickém světelném režimu

 

Poté jsem přešel na transiluminační čočku, která pomocí oranžového světla usnadňuje a zvýrazňuje zobrazení možných prasklin skloviny, tmavých skvrn nebo dalších defektů (obr. 6 a 7).



Obr. 6 a 7: Zobrazení s transiluminační čočkou

 

Nakonec jsem použil interproximální čočku, která umožňuje nasměrovat vyvážené bílé světlo mezi zuby z různých úhlů, a tím ještě lépe zobrazit praskliny ve sklovině. Tento krok potvrdil, že tmavé skvrny zůstávají na stejném místě bez ohledu na úhel dopadu světla (obr. 8 a 9). To naznačovalo, že se jedná spíše o povrchový nález.



Obr. 8 a 9: Zobrazení s interproximální čočkou

 

Použití černého, oranžového a bílého světla z různých úhlů mi poskytlo velmi přesný obraz situace a lepší odhad i jistotu při interpretaci jednotlivých nálezů. Vzhledem k tomu, že klinické vyšetření ukazovalo na povrchový charakter zbarvení, zvolil jsem opracování pomocí tvarovacího a dokončovacího disku Jiffy™ Spin, po kterém následovalo leštění spirálovým lešticím diskem na kompozita Jiffy™ Natural pro dosažení vysokého lesku (obr. 10).


Obr. 10: Leštění systémem Jiffy

 

Na závěr ošetření jsem použil diamantovou pastu Ultradent™, která zajistila velmi kvalitní estetické dokončení povrchu (obr. 11).

I v této době řada lékařů stále ještě nepracuje se specializovaným přístrojem pro diagnostiku a transiluminaci. V některých případech se používá například světlo z turbínky. Tento případ ale velmi názorně ukázal, že jedním z klíčů k dlouhodobému zachování výplní, a tím i ke spokojeným a loajálním pacientům, je správná diagnostika (obr. 12). Řada polymeračních lamp VALO nejen zajišťuje spolehlivou polymeraci kompozitů, což je zřejmé i po letech používání, ale zároveň nabízí velmi dobré diagnostické možnosti při transiluminaci.



Obr. 11 a 12: Výsledek v roce 2024

 

Podle mého názoru je pozoruhodné, jak se lampa VALO během let posunula od spolehlivé polymerační lampy k dnešnímu modelu VALO X, který kombinuje polymerační i diagnostické režimy. V každodenní praxi mi výrazně pomáhá dosahovat kvalitních a trvanlivějších rekonstrukcí. Proto bych každému kolegovi doporučil jediné: chcete-li, aby Vaše kompozitní výplně vydržely déle, vpusťte do své diagnostiky více světla.

 

 


O autorovi

Dr. Rafael S. Beolchi

Vystudoval stomatologii na University of Sao Paulo (hodnocena jako  12. nejlepší na světě) v roce 2000. Od roku 2001 provozuje soukromou praxi, věnuje se převážně estetické a záchovné stomatologii. V roce 2009 získal magisterský titul z biomateriálů na Ústavu energetického a jaderného výzkumu na téže univerzitě.

Vyučuje po celém světě se zaměřením na pokročilou manipulaci s dentálními materiály. Klade důraz na snadné postupy krok za krokem, čímž zjednodušuje práci. Věnuje se přednáškové činnosti a vede workshopy zaměřené na témata záchovné stomatologie v Severní, Střední a Jižní Americe, Evropě, Africe a Asii. Byl řečníkem ve více než 60 zemích. 

Dr. Beolchi v současné době žije v Portugalsku, kde dokončil svůj druhý magisterský titul v oboru dentální lékařství, pracuje jako zubní lékař a jako konzultant pro estetické produkty a materiály pro dentální průmysl a uplatňuje své klinické a vědecké znalosti při vývoji nových a lepších dentálních produktů.

Je autorem několika článků na témata přímých estetických výplní a fotopolymerace, kde si dodnes udržuje svoji vědeckou činnost. Je také autorem knižních kapitol ze stejných oborů a spolupracuje na studiích s několika dalšími institucemi po celém světě.



Odběr newsletteru

Odeslat
Vaše osobní údaje budou spravovány v souladu se Zásadami zpracování osobních údajů.

Kontakt

Moravní 909, 765 02 Otrokovice
577 926 226 - 229
hufa@hufa.cz
  • Instagram
  • LinkedIn
  • Platební brána ComGate

Můj účet

  • Objednávky
  • Osobní údaje
  • Slevy
  • Nastavení
  • Vouchery

Kategorie

  • Ordinace
  • Laboratoř
  • Akční letáky
  • Katalogy
  • Blog

Užitečné info

  • Naši partneři
  • Osobní údaje
  • O nás
  • Projekty EU
  • Nastavení soukromí
  • Obchodní podmínky
  • Reklamace
Copyright © 2022 Hu-Fa Dental a.s. Všechna práva vyhrazena.
Czechdent
Vytvořila Poctivá agentura.
Provozováno na ABRA Eshop.
Hu-Fa Dental
  • Ordinace
  • Laboratoř
  • Akční letáky
  • Katalogy
  • Blog
  • Travel
  • Vzdělávání
  • Absolventi
  • O nás
  • Nastavení soukromí
  • Kontakty
  • Registrujte se
  • Přihlásit

Akceptuji Nastavit

Principy ochrany soukromí

Přizpůsobujeme se Vám na míru. Na základě Vašeho chování na webu personalizujeme jeho obsah a zobrazujeme Vám relevantní nabídky a produkty. Kliknutím na tlačítko „Akceptuji“ souhlasíte také s využíváním cookies a předáním údajů o chování na webu pro zobrazení cílené reklamy na sociálních sítích a v reklamních sítích na dalších webech.
Personalizaci a cílenou reklamu si můžete podrobněji nastavit nebo kdykoli vypnout po kliknutí na tlačítko „Nastavit“.

Uložit nastavení Zpět

Nastavení soukromí

Změny nastavení se projeví pouze pro prohlížeč a zařízení, které právě používáte.


Umožnuje základní funkcionalitu webu jako jeho procházení nebo přihlašování uživatelů


Umožnuje nám vylepšit naše stránky podle toho, jak je používáte.


Tyto cookies jsou využívány reklamními a sociálními sítěmi pro úpravu zobrazovaných reklam tak, aby pro vás byly zajímavé.


Marketigové cookies Google Ads

HUFA.CZ

Dovolujeme si Vás upozornit, že tyto stránky a na nich dále obsažené informace jsou určeny pouze odborné stomatologické veřejnosti.

Pokračováním v používání těchto stránek potvrzujete, že jste odborníkem ve smyslu §2a zákona č. 40/1995 Sb., o regulaci reklamy, ve znění pozdějších předpisů, a že jste si vědom(a) rizik, která jsou spojena s tím, že se seznámíte s informacemi takto určenými  pro případ, že odborníkem nejste.


Zavřít